پروتز و بریج دندان از پرکاربردترین درمان های دندانپزشکی برای جایگزینی دندان های از دست رفته یا ترمیم عملکرد و زیبایی لبخند هستند. بسیاری از افراد با انجام این درمان ها می توانند دوباره جویدن صحیح، صحبت کردن راحت و اعتماد به نفس بیشتری را تجربه کنند. با این حال، مانند هر درمان پزشکی دیگر، استفاده از پروتز و بریج دندان نیز ممکن است با عوارضی همراه باشد که در صورت بی توجهی می تواند سلامت دهان و دندان را به خطر بیندازد. التهاب لثه، لق شدن دندان ها یا پروتز، حساسیت دندانی و حتی دردهای مزمن از جمله مشکلاتی هستند که برخی بیماران پس از نصب پروتز یا بریج تجربه می کنند. آگاهی از این عوارض، دلایل ایجاد آنها و راه های پیشگیری می تواند نقش مهمی در افزایش طول عمر پروتز و حفظ سلامت دهان داشته باشد.

توجه داشته باشید که مطالب این مقاله صرفا با هدف افزایش آگاهی شما نوشته شده و به هیچ عنوان جایگزین تشخیص و درمان پزشکی نیست. در صورت بروز هر گونه علامت غیر طبیعی، درد، التهاب یا ناراحتی پس از نصب پروتز یا بریج دندان، حتما باید به دندانپزشک متخصص مراجعه کنید. در ادامه این مقاله، به صورت جامع و علمی به بررسی عوارض پروتز و بریج دندان، دلایل ایجاد این مشکلات، نشانه ها و مهم تر از همه راه های موثر پیشگیری و مراقبت می پردازیم تا بتوانید با دانش بیشتر از درمان خود محافظت کنید.
فهرست مطالب
- پروتز و بریج دندان چیست و چه کاربردی دارد
- التهاب لثه بعد از پروتز و بریج دندان
- لق شدن پروتز و بریج دندان و دلایل آن
- حساسیت دندانی بعد از نصب پروتز و بریج
- درد و ناراحتی مزمن پس از پروتز دندان
- عوامل تشدید کننده عوارض پروتز و بریج
- راه های پیشگیری از عوارض پروتز و بریج دندان
- مراقبت های روزانه برای افزایش عمر پروتز و بریج
- چه زمانی باید به دندانپزشک مراجعه کرد
- نتیجه گیری
- سوالات متداول
پروتز و بریج دندان چیست و چه کاربردی دارد
پروتز و بریج دندان به عنوان راه حل هایی رایج در دندانپزشکی ترمیمی شناخته می شوند که برای جایگزینی دندان های از دست رفته یا اصلاح ساختار دندان ها به کار می روند. پروتز دندان می تواند ثابت یا متحرک باشد و بسته به شرایط بیمار، از مواد مختلفی مانند سرامیک، فلز یا رزین ساخته می شود. بریج دندان نیز نوعی پروتز ثابت است که با اتصال به دندان های مجاور، فضای خالی ایجاد شده توسط یک یا چند دندان از دست رفته را پر می کند. هدف اصلی این درمان ها بازگرداندن عملکرد طبیعی جویدن، حفظ شکل صورت و جلوگیری از جابجایی دندان های مجاور است.

با وجود مزایای فراوان، نصب پروتز و بریج نیازمند دقت بالا، بررسی سلامت لثه و استخوان فک و رعایت اصول بهداشتی توسط بیمار است. هرگونه خطا در طراحی، نصب نادرست یا عدم مراقبت صحیح می تواند زمینه ساز بروز عوارضی شود که در ابتدا خفیف به نظر می رسند اما در بلند مدت مشکلات جدی تری ایجاد می کنند. بنابراین شناخت عملکرد این درمان ها و محدودیت های آنها، اولین قدم برای پیشگیری از عوارض احتمالی محسوب می شود.
التهاب لثه بعد از پروتز و بریج دندان
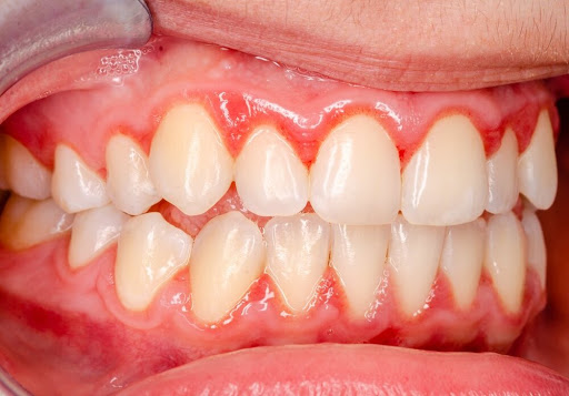
التهاب لثه یکی از شایع ترین عوارض پروتز و بریج دندان است که اغلب به صورت قرمزی، تورم، خونریزی هنگام مسواک زدن و احساس درد یا سوزش بروز می کند. این مشکل معمولا به دلیل تجمع پلاک و باکتری در اطراف لبه های پروتز یا زیر بریج ایجاد می شود. اگر طراحی پروتز به گونه ای باشد که تمیز کردن آن دشوار شود، باکتری ها به راحتی رشد کرده و باعث تحریک بافت لثه می شوند. در برخی موارد نیز واکنش لثه به مواد استفاده شده در پروتز می تواند عامل التهاب باشد.

در صورت بی توجهی به التهاب لثه، این وضعیت می تواند به بیماری های پیشرفته تر لثه مانند پریودنتیت منجر شود که در نهایت سلامت دندان ها و حتی استخوان فک را تهدید می کند. مراجعه منظم به دندانپزشک، رعایت دقیق بهداشت دهان و استفاده از ابزارهای کمکی مانند نخ دندان مخصوص بریج می تواند نقش موثری در کنترل و پیشگیری از این عارضه داشته باشد. درمان زودهنگام التهاب لثه معمولا ساده تر و کم هزینه تر از مراحل پیشرفته بیماری است.
لق شدن پروتز و بریج دندان و دلایل آن
لق شدن پروتز و بریج دندان از عوارض نگران کننده ای است که می تواند عملکرد جویدن و حتی زیبایی لبخند فرد را تحت تاثیر قرار دهد. این مشکل معمولا به دلایلی مانند تحلیل استخوان فک، ضعف دندان های پایه بریج، چسب نامناسب یا فشار بیش از حد هنگام جویدن ایجاد می شود. در برخی بیماران، دندان قروچه یا عادت های نادرست مانند جویدن اشیای سفت نیز می تواند باعث شل شدن تدریجی پروتز شود.
ادامه داشتن لق شدن بدون بررسی و درمان می تواند منجر به آسیب جدی به دندان های مجاور و لثه شود. در چنین شرایطی، امکان نیاز به تعویض کامل پروتز یا بریج وجود دارد که هزینه و زمان بیشتری می طلبد. به همین دلیل، تشخیص زودهنگام لق شدن و مراجعه سریع به دندانپزشک اهمیت زیادی دارد. اصلاح طراحی، تقویت دندان های پایه یا درمان مشکلات زمینه ای استخوان فک می تواند از پیشرفت این عارضه جلوگیری کند.
حساسیت دندانی بعد از نصب پروتز و بریج
حساسیت دندانی پس از نصب پروتز و بریج معمولا به صورت درد کوتاه و تیز هنگام مصرف غذاها و نوشیدنی های سرد، گرم یا شیرین احساس می شود. این حساسیت اغلب به دلیل تراش دندان های پایه، تحریک عصب دندان یا نشت جزئی در لبه های پروتز ایجاد می شود. در بسیاری از موارد، این حساسیت موقتی است و پس از مدتی کاهش می یابد، اما در برخی بیماران ممکن است ادامه دار باشد.
اگر حساسیت دندانی شدید یا طولانی شود، می تواند نشانه مشکلاتی مانند پوسیدگی دندان زیر بریج، التهاب پالپ یا نصب نادرست پروتز باشد. استفاده از خمیردندان های مخصوص دندان های حساس، پرهیز از غذاهای بسیار سرد و گرم و مراجعه منظم به دندانپزشک می تواند به کاهش این مشکل کمک کند. نادیده گرفتن حساسیت دندانی ممکن است باعث تشدید درد و نیاز به درمان های پیچیده تر شود.
درد و ناراحتی مزمن پس از پروتز دندان
برخی بیماران پس از نصب پروتز یا بریج دندان دچار درد و ناراحتی مزمن در ناحیه دهان، فک یا حتی گوش می شوند. این درد می تواند ناشی از اختلال در تطابق پروتز با فک، فشار نامتعادل هنگام جویدن یا مشکلات مفصل گیجگاهی فکی باشد. در مواردی نیز استرس و انقباض عضلات فک می تواند شدت درد را افزایش دهد.

تشخیص علت دقیق درد مزمن نیازمند بررسی تخصصی توسط دندانپزشک یا متخصص فک و صورت است. گاهی با تنظیم مجدد پروتز، اصلاح تماس های دندانی یا استفاده از محافظ دندانی شبانه می توان مشکل را برطرف کرد. عدم درمان به موقع درد مزمن می تواند کیفیت زندگی فرد را کاهش داده و مشکلات بیشتری ایجاد کند.
عوامل تشدید کننده عوارض پروتز و بریج
عوامل متعددی می توانند عوارض پروتز و بریج دندان را تشدید کنند که از جمله مهم ترین آنها می توان به بهداشت دهان ضعیف، استعمال دخانیات، بیماری های زمینه ای مانند دیابت و تغذیه نامناسب اشاره کرد. سیگار کشیدن با کاهش جریان خون لثه، روند ترمیم بافت ها را کند کرده و خطر التهاب و عفونت را افزایش می دهد. همچنین قند خون کنترل نشده در بیماران دیابتی می تواند احتمال بروز عوارض لثه ای را بیشتر کند.
علاوه بر این، عدم مراجعه منظم برای معاینات دوره ای باعث می شود مشکلات کوچک به موقع شناسایی نشوند و به عوارض جدی تبدیل شوند. شناخت این عوامل و کنترل آنها نقش مهمی در موفقیت طولانی مدت درمان با پروتز و بریج دندان دارد. همکاری بیمار با دندانپزشک در این زمینه ضروری است.
راه های پیشگیری از عوارض پروتز و بریج دندان
پیشگیری از عوارض پروتز و بریج دندان نیازمند ترکیبی از مراقبت های شخصی و پیگیری های حرفه ای است. رعایت دقیق بهداشت دهان شامل مسواک زدن حداقل دو بار در روز، استفاده از نخ دندان مخصوص بریج و دهانشویه های مناسب می تواند از تجمع پلاک و التهاب لثه جلوگیری کند. انتخاب مسواک با برس نرم و تکنیک صحیح مسواک زدن اهمیت زیادی دارد.
از سوی دیگر، مراجعه منظم به دندانپزشک برای بررسی وضعیت پروتز، تنظیم در صورت نیاز و انجام جرم گیری حرفه ای نقش حیاتی در پیشگیری از مشکلات دارد. پرهیز از جویدن غذاهای بسیار سفت، اجتناب از عادت هایی مانند دندان قروچه و رعایت توصیه های غذایی می تواند طول عمر پروتز و بریج را افزایش دهد. آموزش صحیح بیمار یکی از ارکان اصلی پیشگیری موفق است.
مراقبت های روزانه برای افزایش عمر پروتز و بریج
مراقبت های روزانه صحیح می تواند تاثیر قابل توجهی در کاهش عوارض و افزایش دوام پروتز و بریج دندان داشته باشد. تمیز کردن نواحی زیر بریج با ابزارهای مخصوص مانند سوپر فلاس یا واترجت به جلوگیری از التهاب لثه کمک می کند. همچنین شستشوی دهان پس از هر وعده غذایی می تواند از باقی ماندن ذرات غذا جلوگیری کند.
رعایت رژیم غذایی متعادل، مصرف کافی ویتامین ها به ویژه ویتامین C و D و نوشیدن آب کافی نیز در سلامت لثه و استخوان موثر است. در صورت داشتن پروتز متحرک، خارج کردن و تمیز کردن روزانه آن ضروری است. این مراقبت ها اگر به صورت مداوم انجام شوند، احتمال بروز بسیاری از عوارض را به حداقل می رسانند.
چه زمانی باید به دندانپزشک مراجعه کرد
آگاهی از نشانه هایی که نیاز به مراجعه فوری به دندانپزشک دارند، اهمیت زیادی دارد. خونریزی مداوم لثه، درد شدید یا طولانی، لق شدن پروتز یا بریج، بوی بد دهان مداوم و حساسیت شدید از جمله علائمی هستند که نباید نادیده گرفته شوند. مراجعه به موقع می تواند از پیشرفت مشکلات و نیاز به درمان های پیچیده تر جلوگیری کند.

همچنین حتی در صورت نداشتن علامت خاص، معاینات دوره ای هر شش ماه یک بار توصیه می شود. این مراجعات به دندانپزشک امکان می دهد مشکلات پنهان را پیش از بروز علائم جدی شناسایی و درمان کند. پیشگیری همواره ساده تر و کم هزینه تر از درمان است.
نتیجه گیری
پروتز و بریج دندان می توانند نقش مهمی در بازگرداندن عملکرد و زیبایی دهان داشته باشند، اما بی توجهی به مراقبت ها و علائم هشداردهنده می تواند منجر به عوارضی مانند التهاب لثه، لق شدن و حساسیت دندانی شود. شناخت این عوارض، عوامل ایجاد کننده و راه های پیشگیری به بیماران کمک می کند تا با آگاهی بیشتری از درمان خود محافظت کنند. رعایت بهداشت دهان، مراجعه منظم به دندانپزشک و اصلاح عادات نادرست از مهم ترین اقدامات پیشگیرانه هستند. در صورت بروز هر گونه مشکل، مراجعه سریع به پزشک متخصص بهترین تصمیم برای حفظ سلامت دهان و دندان است.
سوالات متداول
آیا التهاب لثه بعد از بریج دندان طبیعی است؟
التهاب خفیف لثه در روزهای ابتدایی ممکن است رخ دهد، اما ادامه دار شدن آن طبیعی نیست و نیاز به بررسی دندانپزشک دارد.
لق شدن پروتز دندان خطرناک است؟
بله، لق شدن می تواند به دندان های پایه و لثه آسیب بزند و باید هر چه زودتر درمان شود.
چگونه می توان حساسیت بعد از پروتز را کاهش داد؟
استفاده از خمیردندان مخصوص دندان های حساس، پرهیز از محرک ها و مراجعه منظم به دندانپزشک موثر است.





