لقی دندان در بزرگسالی یکی از نگران کننده ترین علائم دهانی است که بسیاری از افراد با تجربه آن، بلافاصله به فکر جراحی، کشیدن دندان یا ایمپلنت می افتند. اما واقعیت این است که در بخش قابل توجهی از موارد، می توان با روش های نوین و کاملا غیر جراحی، ثبات دندان را تا حد زیادی برگرداند و روند تخریب بافت های نگهدارنده دندان را متوقف یا حتی معکوس کرد. در سال های اخیر، پیشرفت های مهمی در حوزه پریودنتولوژی (بیماری های لثه و بافت های نگهدارنده دندان)، مواد ترمیمی، لیزرهای دندانی و طراحی گارد های محافظتی صورت گرفته است که همگی با هدف حفظ دندان طبیعی و جلوگیری از جراحی های تهاجمی به کار گرفته می شوند.

در این مقاله، به زبان ساده و بر اساس منابع علمی معتبر بین المللی مانند کلینیک کلیولند و مقالات مروری روزآمد، توضیح می دهیم لقی دندان چرا ایجاد می شود، در چه شرایطی امکان برگشت استحکام دندان بدون جراحی وجود دارد و چه تکنیک های غیر جراحی، از جرم گیری عمیق و اسپلینت دندانی تا لیزر و تنظیم بایت، در کلینیک های مدرن استفاده می شود. همچنین به شما کمک می کنیم تشخیص دهید چه زمانی می توان با اصلاح بهداشت دهان و عادات زندگی، وضعیت را کنترل کرد و در چه شرایطی مراجعه فوری به دندان پزشک ضروری است تا شانس حفظ دندان از دست نرود. نکات این مطلب صرفا جنبه آموزشی دارد و جایگزین معاینه بالینی توسط دندان پزشک نیست، اما به شما دیدی دقیق و واقع بینانه برای انتخاب مسیر درمان می دهد.
خلاصه عملی
اگر به تازگی احساس کرده اید یکی از دندان هایتان لق شده است، حتما این سوال را دارید که آیا می شود بدون جراحی آن را محکم کرد یا خیر. پاسخ کوتاه این است که در مراحل اولیه تا متوسط، در بسیاری از موارد می توان با ترکیب جرم گیری عمیق، کنترل عفونت، اسپلینت دندانی، تنظیم فشار های بایتی و اصلاح عادات مخرب مانند دندان قروچه، لقی را تا حد زیادی کاهش داد و عمر دندان را طولانی کرد. در ادامه مقاله، ابتدا علت های اصلی لقی دندان (به خصوص بیماری های لثه، دندان قروچه، تروما، پوکی استخوان و تغییرات هورمونی) را مرور می کنیم، سپس روش های تشخیصی که دندان پزشک برای ارزیابی شدت لقی و میزان تخریب استخوان به کار می برد را توضیح می دهیم.
بعد از آن، به تفصیل روش های نوین غیر جراحی را بررسی می کنیم؛ از جرم گیری و روت پلنینگ عمیق، استفاده از دهان شویه ها و دارو های موضعی ضد میکروب، اسپلینت موقت و دائمی دندان های لق، لیزر تراپی برای کاهش التهاب لثه، تا بایت تراپی و گارد شبانه برای کنترل فشار های اضافی. همچنین درباره نقش تغذیه، ترک سیگار، کنترل بیماری های سیستمیک و مراجعات منظم در حفظ نتایج درمان صحبت می کنیم. در پایان، یک جمع بندی عملی و سه پرسش متداول همراه با پاسخ های کوتاه و مستند ارائه می شود تا بتوانید بر اساس اطلاعات معتبر، سریع تر و مطمئن تر برای سلامت دندان های خود تصمیم بگیرید.
فهرست مطالب
- علت های اصلی لقی دندان در بزرگسالان
- چگونه دندان پزشک شدت لقی و امکان درمان غیر جراحی را تشخیص می دهد؟
- جرم گیری عمیق و روت پلنینگ؛ سنگ بنای درمان غیر جراحی
- اسپلینت دندانی؛ آتل بندی برای بازگرداندن ثبات دندان
- تنظیم بایت، گارد شب و کنترل دندان قروچه
- لیزر، مواد زیست فعال و روش های نوین بازسازی غیر جراحی
- تغذیه، سبک زندگی و نقش بیمار در موفقیت درمان
- چه زمانی روش های غیر جراحی کافی نیستند؟
- جمع بندی و توصیه های نهایی
علت های اصلی لقی دندان در بزرگسالان
برای انتخاب بهترین درمان غیر جراحی، ابتدا باید بدانیم چرا دندان لق شده است. شایع ترین علت لقی دندان در بزرگسالان بیماری های لثه یا همان پریودنتیت است. زمانی که پلاک میکروبی و جرم روی دندان و زیر لثه تجمع پیدا می کند، باکتری ها باعث التهاب و عفونت لثه می شوند. در صورت عدم درمان، این التهاب به تدریج رباط های نگهدارنده دندان و سپس استخوان اطراف ریشه را تخریب می کند. نتیجه این روند، عمیق شدن پاکت های لثه ای، تحلیل استخوان و افزایش حرکت دندان است. منابع علمی گزارش کرده اند که بخش عمده موارد از دست دادن دندان در بزرگسالان، ناشی از بیماری های لثه کنترل نشده است.
گروه دوم علل لقی، عوامل مکانیکی و فشار های اضافی هستند. دندان قروچه شبانه، فشار های غیر طبیعی هنگام جویدن، عادات مثل فشار دادن دندان ها روی هم در مواقع استرس، یا برخورد ضربه به دندان در اثر حادثه ورزشی یا تصادف، می تواند باعث آسیب رباط های دور ریشه و ایجاد لقی شود. در این موارد، حتی اگر استخوان هنوز به طور کامل تخریب نشده باشد، استمرار فشار نابجا مانع ترمیم بافت ها می شود. از سوی دیگر، بیماری هایی مانند پوکی استخوان، دیابت کنترل نشده، مصرف طولانی مدت سیگار و بعضی داروها، مقاومت استخوان و بافت های نگهدارنده دندان را کاهش می دهند و احتمال لقی را بیشتر می کنند. تغییرات هورمونی در بارداری نیز می تواند به طور موقت تحرک دندان ها را افزایش دهد که معمولا با پایان بارداری و پایدار شدن هورمون ها تا حدی بهبود می یابد.
شناخت دقیق علت، برای طراحی یک برنامه درمانی غیر جراحی موفق حیاتی است. اگر ریشه مشکل در التهاب لثه باشد، تمرکز بر کنترل عفونت و جرم گیری عمیق خواهد بود. در حضور دندان قروچه، استفاده از گارد شب و تنظیم بایت ضروری است. اگر بیماری سیستمیک مانند دیابت زمینه ساز باشد، همکاری با پزشک معالج برای کنترل قند خون، جزئی جدایی ناپذیر از درمان دندان خواهد بود. در غیر این صورت، حتی بهترین درمان های موضعی نیز اثر پایدار نخواهند داشت.
چگونه دندان پزشک شدت لقی و امکان درمان غیر جراحی را تشخیص می دهد؟
در یک معاینه حرفه ای، دندان پزشک فقط به احساس بیمار از لق بودن دندان اکتفا نمی کند؛ بلکه با استفاده از آزمون های استاندارد، شدت تحرک دندان، وضعیت لثه و مقدار تحلیل استخوان را ارزیابی می کند. برای سنجش لقی، معمولا دندان بین دو انتهای ابزار گرفته و به آرامی در جهات مختلف حرکت داده می شود. بر اساس دامنه حرکت، لقی در چند درجه طبقه بندی می شود. در درجات اولیه، حرکت محدود به بعد افقی است، در حالی که در درجات شدیدتر، حرکت عمودی و احساس «بالا پایین رفتن» دندان هم وجود دارد که نشان دهنده آسیب گسترده تر بافت های نگهدارنده است.
مرحله بعدی، ارزیابی لثه و عمق پاکت های اطراف دندان است. دندان پزشک با پروب مخصوص، عمق شیار لثه را اندازه گیری می کند؛ عمق های بیش از ۳ میلی متر همراه با خونریزی، معمولا نشانه شروع بیماری لثه هستند و عمق های بیشتر، نشانگر تخریب جدی تر استخوان می باشند. رادیوگرافی های دیجیتال (به طور معمول عکس بایت وینک و پانورامیک و در موارد خاص سی بی سی تی) تصویر دقیقی از ارتفاع استخوان اطراف ریشه ها ارائه می دهند و مشخص می کنند چه مقدار از استخوان از دست رفته و آیا امکان تثبیت دندان بدون جراحی هنوز وجود دارد یا خیر.
در کنار این بررسی های موضعی، دندان پزشک تاریخچه پزشکی و دارویی شما را نیز مرور می کند؛ عواملی مانند مصرف دخانیات، دیابت، پوکی استخوان، مصرف داروهای خاص و سابقه ضربه یا درمان های قبلی روی دندان، در تصمیم گیری درمانی اهمیت زیادی دارند. بر اساس مجموع این اطلاعات، یک طرح درمان اختصاصی تنظیم می شود که اگر هنوز حجم کافی از استخوان و رباط های سالم باقی مانده باشد، معمولا بر روش های غیر جراحی متمرکز است. توصیه های بسیاری از مراکز معتبر نظیر Cleveland Clinic نیز بر شروع سریع درمان غیر جراحی در مراحل اولیه لقی تاکید می کند.
جرم گیری عمیق و روت پلنینگ؛ سنگ بنای درمان غیر جراحی
تقریبا در همه مواردی که لقی دندان ناشی از بیماری لثه است، اولین و مهم ترین قدم درمان غیر جراحی، جرم گیری کامل بالای لثه و به ویژه جرم گیری عمیق زیر لثه و روت پلنینگ است. در این روش که اغلب با بی حسی موضعی انجام می شود، دندان پزشک یا متخصص بیماری های لثه، با استفاده از ابزارهای دستی و دستگاه های اولتراسونیک، پلاک و جرم سخت شده را از روی سطوح ریشه و داخل پاکت های لثه ای پاک می کند. سپس سطح ریشه ها را صاف و صیقلی می کند تا چسبیدن مجدد باکتری ها دشوارتر شود و امکان اتصال دوباره لثه به ریشه فراهم آید. این فرآیند، التهاب و عفونت را کاهش داده و زمینه را برای ترمیم بافت های نگهدارنده دندان فراهم می کند.
معمولا جرم گیری عمیق در یک یا چند جلسه و بسته به تعداد دندان های درگیر انجام می شود. پس از درمان، ممکن است چند روز حساسیت دندانی و کمی ناراحتی لثه وجود داشته باشد که با رعایت دقیق دستورات دندان پزشک (مصرف داروهای تجویز شده، پرهیز از غذاهای خیلی سفت یا بسیار گرم و سرد، و استفاده منظم از دهان شویه های ضد عفونی کننده) کنترل می شود. مزایای این روش در مطالعات علمی متعدد تایید شده است؛ کاهش عمق پاکت، کاهش خونریزی، بهبود بوی دهان و مهم تر از همه، کاهش پیشرفت تحلیل استخوان. در بسیاری از بیماران، بعد از چند هفته تا چند ماه، احساس لق بودن دندان ها به شکل محسوسی کمتر می شود، زیرا التهاب و ادم بافتی فروکش کرده و بافت های اطراف دندان فشرده تر و پایدار تر می شوند.
| مزایای جرم گیری عمیق | محدودیت ها |
|---|---|
| کاهش التهاب و خونریزی لثه | نیاز به همکاری بیمار در رعایت بهداشت پس از درمان |
| کند شدن یا توقف تحلیل استخوان | ممکن است در موارد بسیار پیشرفته به تنهایی کافی نباشد |
| بهبود نسبی ثبات دندان در مراحل اولیه تا متوسط | حساسیت موقت دندان به سرما و گرما |
| غیر جراحی و قابل تکرار در صورت نیاز | موفقیت محدود در صورت ادامه سیگار کشیدن یا کنترل نشدن بیماری های سیستمیک |
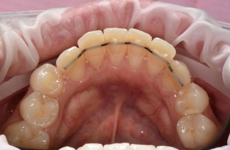
اسپلینت دندانی؛ آتل بندی برای بازگرداندن ثبات دندان
در شرایطی که دندان از نظر استخوان و بافت نگهدارنده هنوز قابل حفظ است، اما لقی به حدی است که بیمار هنگام جویدن یا حتی صحبت کردن احساس حرکت آزار دهنده دارد، یکی از روش های نوین و موثر غیر جراحی، اسپلینت یا آتل دندانی است. در این تکنیک، دندان های لق به دندان های سالم مجاور متصل می شوند تا یک واحد پایدار تر تشکیل شود و نیروهای جویدن بین چند دندان تقسیم گردد. اسپلینت می تواند به صورت موقت (برای چند ماه) یا طولانی مدت طراحی شود و معمولا با مواد کامپوزیتی و نوار های فایبر گلاس یا سیم های نازک پشت دندان ها اجرا می شود تا از نظر ظاهری کمتر دیده شود.

مزیت اصلی اسپلینت این است که به بافت های نگهدارنده دندان فرصت می دهد بعد از جرم گیری عمیق و کنترل عفونت، در شرایطی با حرکت کمتر، خود را بازسازی کنند. بیمار نیز می تواند راحت تر جویدن و صحبت کردن را ادامه دهد و اضطراب ناشی از احساس لق بودن مدام دندان، کاهش می یابد. البته باید توجه داشت که اسپلینت جایگزین درمان بیماری زمینه ای نیست؛ اگر بیماری لثه یا دندان قروچه کنترل نشود، صرفا بستن دندان ها به یکدیگر مشکل را حل نمی کند. همچنین طراحی اسپلینت باید توسط دندان پزشک باتجربه صورت گیرد تا باعث تجمع بیشتر پلاک یا ایجاد فشار های نا متقارن روی دندان ها نشود.
در برخی موارد خاص، از اسپلینت های خارج دهانی یا نایت گارد های سخت نیز به عنوان نوعی اسپلینت محافظتی استفاده می شود. انتخاب نوع اسپلینت، به شدت لقی، جایگاه دندان در قوس، وضعیت ریشه ها و برنامه بلند مدت درمان بستگی دارد. در هر صورت، رعایت دقیق بهداشت دهان در اطراف اسپلینت (استفاده از نخ مخصوص، مسواک بین دندانی و دهان شویه ضد عفونی کننده) برای موفقیت این روش ضروری است.
تنظیم بایت، گارد شب و کنترل دندان قروچه
یکی از علل مهم و گاهی نادیده گرفته شده لقی دندان، فشار های اضافی ناشی از بایت نا متوازن یا عادت دندان قروچه است. حتی اگر لثه و استخوان تا حدی سالم باشند، فشار مداوم و شدید روی یک یا چند دندان می تواند باعث تخریب تدریجی رباط های نگهدارنده و ایجاد تحرک دندانی شود. بنابراین، در طرح درمان غیر جراحی لقی دندان، ارزیابی نحوه قرار گرفتن دندان های بالا و پایین روی هم و شناسایی نقاط تماس پر فشار اهمیت زیادی دارد. در صورت وجود تداخل های بایتی، دندان پزشک می تواند با تراش بسیار محدود و کنترل شده مینای بعضی سطوح، فشار را متعادل کند؛ به این کار «اکلوژنال اژاستمنت» یا تنظیم بایت گفته می شود.

در بیماران مبتلا به دندان قروچه (برکسیزم) که غالبا در خواب اتفاق می افتد و خود بیمار از آن آگاه نیست، ساخت یک گارد شبانه اختصاصی نقشی کلیدی دارد. این وسیله شفاف و معمولا از جنس پلاستیک سخت، روی دندان های بالا یا پایین قرار می گیرد و هنگام خواب از تماس مستقیم و فشار های شدید دندان ها بر هم جلوگیری می کند. گارد شب علاوه بر محافظت از مینای دندان و ترمیم های موجود، به بافت های نگهدارنده دندان نیز فرصت استراحت و ترمیم می دهد. مطالعات نشان داده اند که استفاده منظم از گارد شب، می تواند روند پیشرفت لقی ناشی از دندان قروچه را به طور قابل توجهی کند کند.
البته درمان دندان قروچه فقط به گارد شب محدود نمی شود؛ مدیریت استرس، اصلاح الگوی خواب، پرهیز از مصرف کافئین و برخی داروها قبل از خواب، و در موارد شدید، همکاری با پزشک برای ارزیابی مداخله های دارویی یا روان شناسی نیز می تواند لازم باشد. ترکیب این اقدامات، همراه با تنظیم بایت و درمان لثه، احتمال موفقیت روش های غیر جراحی در حفظ دندان های لق را افزایش می دهد.
لیزر، مواد زیست فعال و روش های نوین بازسازی غیر جراحی
در کنار روش های کلاسیک مانند جرم گیری عمیق و اسپلینت، در سال های اخیر استفاده از لیزر ها و مواد زیست فعال در درمان غیر جراحی لقی دندان رو به گسترش است. لیزر های دندانی با طول موج های خاص، می توانند باکتری های بیماری زا را در پاکت های لثه ای کاهش دهند، التهاب را کم کنند و خونرسانی موضعی را بهبود بخشند. در برخی پروتکل ها، پس از جرم گیری عمیق، از لیزر برای پاکسازی بیشتر بافت های ملتهب داخل پاکت و تحریک ترمیم استفاده می شود. مزیت لیزر این است که در بسیاری از بیماران، خونریزی و درد پس از درمان کمتر است و بیماران تحمل بهتری نسبت به آن دارند. البته انتخاب نوع لیزر و توان مناسب باید توسط متخصص آموزش دیده انجام شود و جایگزین کامل روش های مکانیکی کلاسیک نیست، بلکه مکمل آنها است.
در حوزه بازسازی، مواد زیست فعال مانند ژل های حاوی فاکتور های رشد، برخی بیو سرامیک ها، و محصولات حاوی پروتئین های ماتریکسی مینای دندان، به عنوان کمک کننده در ترمیم بافت های لثه و گاهی استخوان، مورد توجه قرار گرفته اند. هرچند بخش عمده کارایی این مواد در درمان های جراحی پریودنتال بررسی شده است، اما در مواردی که هنوز نیاز به جراحی نیست، می توان در قالب درمان های غیر جراحی تقویت شده از آنها استفاده کرد؛ مثلا استفاده از ژل های خاص بعد از روت پلنینگ برای کمک به اتصال مجدد لثه به ریشه. منابع علمی مروری نظیر Medical News Today نیز تاکید می کنند که هر نوع مداخله بازسازی باید همراه با حذف کامل عوامل مخرب (پلاک، سیگار، قند خون کنترل نشده) انجام شود تا شانس موفقیت افزایش یابد؛ برای نمونه نگاه کنید به مرور «Loose tooth: Treatments, causes, and prevention» در سایت MedicalNewsToday.
نکته مهم این است که بیماران نباید انتظار معجزه فوری از این مواد داشته باشند. هدف اصلی در درمان غیر جراحی، متوقف کردن روند تخریب و ایجاد شرایط پایدار است. بازسازی استخوان و رباط های نگهدارنده، اگر هم رخ دهد، روندی کند و محدود است. بنابراین، رویکرد علمی و واقع بینانه ایجاب می کند که این تکنیک های نوین در کنار روش های پایه مانند جرم گیری عمیق، کنترل بایت و اصلاح سبک زندگی به کار روند، نه به عنوان جایگزین آنها.
تغذیه، سبک زندگی و نقش بیمار در موفقیت درمان
هیچ برنامه درمانی غیر جراحی برای لقی دندان بدون مشارکت فعال خود بیمار به نتیجه پایدار نمی رسد. رعایت بهداشت دهان در سطح بالا، سنگ بنای حفظ نتایج جرم گیری و سایر درمان ها است. مسواک زدن دو بار در روز با تکنیک صحیح و خمیر دندان حاوی فلوراید، استفاده روزانه از نخ دندان یا مسواک بین دندانی، و بهره گیری منظم از دهان شویه های ضد میکروبی تجویز شده توسط دندان پزشک، می تواند تعداد باکتری های بیماری زا را به حداقل برساند. شستشو با آب نمک ولرم در روز های ابتدایی پس از درمان نیز به کاهش التهاب و تسریع بهبود کمک می کند، هرچند به تنهایی درمان کننده لقی نیست.

تغذیه نیز نقش مهمی در استحکام دندان و استخوان های فک دارد. دریافت کافی کلسیم، ویتامین D، پروتئین با کیفیت و آنتی اکسیدان ها باعث می شود بدن بتواند بهتر با التهاب مبارزه کند و بافت های آسیب دیده را ترمیم نماید. مصرف بیش از حد نوشیدنی های شیرین و اسیدی، خوراکی های بسیار سفت و جویدن یخ یا آجیل بسیار سخت می تواند فشار به دندان های لق را افزایش دهد و روند ترمیم را مختل کند. ترک سیگار و قلیان از مهم ترین اقدامات حمایتی است؛ نیکوتین و سایر مواد موجود در دود دخانیات، خونرسانی لثه را کاهش داده و احتمال عفونت و شکست درمان را بالا می برند.
کنترل بیماری های عمومی مانند دیابت، پوکی استخوان و مشکلات هورمونی، بخش دیگری از نقش بیمار است. اگر قند خون بالا و ناپایدار باشد، بدن توانایی مقابله با عفونت لثه و ترمیم بافت ها را از دست می دهد و هرگونه درمان غیر جراحی، اثر محدودی خواهد داشت. ملاقات های منظم با دندان پزشک (معمولا هر ۳ تا ۶ ماه بسته به شدت مشکل) برای بررسی وضعیت لثه، جرم گیری نگهدارنده و تنظیم مجدد توصیه ها، به اندازه خود درمان اولیه اهمیت دارد. به بیان ساده، درمان غیر جراحی لقی دندان یک پروژه مشترک بین دندان پزشک و بیمار است؛ درمانگر مسیر و ابزار را فراهم می کند و بیمار با تعهد و پیگیری، آن را به نتیجه می رساند.
چه زمانی روش های غیر جراحی کافی نیستند؟
با وجود تمام پیشرفت ها، باید پذیرفت که در همه موارد نمی توان تنها با روش های غیر جراحی، دندان لق را نجات داد. زمانی که تحلیل استخوان به حدی رسیده که بخش بزرگی از طول ریشه بدون حمایت استخوانی است، یا لقی آنقدر شدید است که دندان در جهت عمودی به وضوح بالا و پایین می رود، احتمال موفقیت درمان های غیر جراحی به شدت کاهش می یابد. همچنین در حضور عفونت های پیشرفته، آبسه های مکرر، شکستگی ریشه یا پوسیدگی غیر قابل ترمیم، گاهی کشیدن دندان و جایگزینی آن با ایمپلنت، بریج یا پروتز متحرک، منطقی تر و ایمن تر خواهد بود.
در برخی بیماران، حتی اگر برنامه کامل غیر جراحی اجرا شود، برای دسترسی بهتر به نواحی عمیق تر و انجام بازسازی استخوان، نیاز به جراحی های پریودنتال مانند جراحی فلپ، پیوند استخوان یا پیوند لثه وجود دارد. تصمیم درباره زمان گذر از درمان های غیر جراحی به سمت جراحی یا کشیدن دندان، باید بر اساس ترکیب ارزیابی بالینی، رادیوگرافی و وضعیت عمومی سلامت بیمار گرفته شود. هدف این است که تا حد امکان دندان طبیعی حفظ شود، اما نه به قیمت باقی گذاشتن یک منبع عفونت مزمن در بدن یا تحمیل هزینه و زمان زیاد بدون شانس موفقیت معقول.
نکته بسیار مهم این است که بیماران نباید خودسرانه و بر اساس توصیه های غیر علمی فضای مجازی، سعی در «سفت کردن دندان لق با درمان خانگی» داشته باشند؛ روش هایی مانند بستن نخ دور دندان، استفاده افراطی از مواد اسیدی یا سوزاننده، یا مصرف خودسرانه آنتی بیوتیک ها نه تنها کمکی نمی کند، بلکه می تواند آسیب جبران ناپذیر ایجاد کند و حتی درمان های حرفه ای بعدی را دشوار تر سازد. هرچه مراجعه به دندان پزشک زودتر انجام شود، احتمال موفقیت روش های غیر جراحی بالاتر خواهد بود.
جمع بندی و توصیه های نهایی
لقی دندان در بزرگسالی یک علامت هشدار دهنده است، اما همیشه به معنای محکوم بودن دندان به کشیده شدن یا جراحی نیست. اگر در مراحل اولیه متوجه تغییر در ثبات دندان شوید و به سرعت برای ارزیابی علمی اقدام کنید، در بسیاری از موارد می توان با ترکیب جرم گیری عمیق، کنترل عفونت، اسپلینت دندانی، تنظیم بایت، استفاده از گارد شب و اصلاح عادات دهانی، لقی را کاهش داد و عملکرد قابل قبولی برای سال ها حفظ کرد. تکنیک های نوین مانند لیزر تراپی و استفاده از مواد زیست فعال نیز در کنار روش های پایه، به بهبود نتایج کمک می کنند، مشروط بر آن که علت اصلی مشکل (بیماری لثه، دندان قروچه، سیگار، دیابت و غیره) به طور ریشه ای مدیریت شود.
برای رسیدن به بهترین نتیجه، چند اصل طلایی را به خاطر بسپارید: هرگونه احساس لق شدن، درد هنگام جویدن یا تغییر در نحوه قرار گرفتن دندان ها روی هم را جدی بگیرید و مراجعه به دندان پزشک را به تعویق نیندازید؛ درمان های غیر جراحی بیشترین اثر را در مراحل اولیه دارند. بهداشت دهان را در بالاترین سطح ممکن حفظ کنید و توصیه های تغذیه ای و سبک زندگی دندان پزشک را مو به مو اجرا نمایید. از درمان های خانگی غیر علمی و خودسرانه پرهیز کنید و در صورت وجود بیماری های زمینه ای مانند دیابت یا پوکی استخوان، همراه با پزشک معالج خود، آنها را به خوبی کنترل کنید. با چنین رویکردی، شانس شما برای بازگشت نسبی استحکام دندان بدون جراحی، به شکل قابل توجهی افزایش خواهد یافت.
سوالات متداول
آیا لقی دندان همیشه بدون جراحی قابل درمان است؟
خیر. در مراحل اولیه تا متوسط، در بسیاری از موارد می توان با روش های غیر جراحی (جرم گیری عمیق، اسپلینت، تنظیم بایت، گارد شب و اصلاح عادات) لقی را کاهش داد. اما در مراحل بسیار پیشرفته با تحلیل شدید استخوان یا وجود شکستگی ریشه و عفونت های گسترده، معمولا نیاز به جراحی پریودنتال یا کشیدن و جایگزینی دندان وجود دارد. تشخیص این موضوع تنها با معاینه و رادیوگرافی توسط دندان پزشک امکان پذیر است.
آیا روش های خانگی می توانند دندان لق را محکم کنند؟
هیچ روش خانگی قادر نیست به تنهایی بافت های نگهدارنده دندان را بازسازی کند. شستشو با آب نمک ولرم، رعایت بهداشت عالی و پرهیز از جویدن غذاهای سفت می تواند به کاهش التهاب و جلوگیری از بدتر شدن وضعیت تا زمان مراجعه به دندان پزشک کمک کند، اما جایگزین درمان حرفه ای مانند جرم گیری عمیق و اسپلینت نیست. استفاده از نسخه های غیر علمی یا مواد سوزاننده می تواند وضعیت را بدتر کند.
اگر دندان لق را درمان نکنم چه اتفاقی می افتد؟
عدم درمان لقی دندان معمولا به پیشرفت بیماری لثه، افزایش تحلیل استخوان و در نهایت از دست رفتن دندان منجر می شود. علاوه بر این، عفونت های مزمن لثه می تواند بر سلامت عمومی بدن نیز اثر منفی بگذارد و با بیماری هایی مانند بیماری های قلبی عروقی و کنترل ضعیف دیابت ارتباط داشته باشد. هرچه درمان زودتر آغاز شود، احتمال حفظ دندان با روش های غیر جراحی بیشتر خواهد بود.




